Head injuries are extremely common after motor vehicle accidents. One of the many problems with a head injury is that the person suffering from it won’t be able to think straight. They might think they’re fine when they can barely stand. Car accident head injury statistics are worth knowing. It’s incredibly important after an accident to get checked out. Brain swelling after a car accident is an extreme danger. If you’re owed compensation after an injury, that hospital visit is what will provide the best evidence.
Car Accident Head Injury Statistics
There are 2.87 million emergency room visits a year due to TBI, or traumatic brain injury. The CDC reports that of these cases, 288,000 require hospitalization. Obviously, not all of these are due to motor vehicle accidents. The leading cause of TBI is actually falling, and motor vehicle crashes are the second-leading cause at 20% of TBI hospitalizations. That works out to nearly 58,000 a year – and that’s just the cases that are hospitalized.
Brain swelling after a car accident can result in death. In fact, motor vehicle accidents are the leading cause of TBI-related death in people both under 34 and over 75 years of age. It’s important to get to the hospital as soon as you possibly can.
Concussions
A concussion is a result of your brain hitting the inside of your skull. In a car accident, a vehicle can slow from 60 mph to 0 mph almost immediately. While the car may stop, your body keeps wanting to go forward because of momentum. That would cause even worse injury, so your seat belts and airbags help stop this. Just like your body inside the car keeps going forward due to momentum, your brain inside your skull does the same. That’s not a comfortable thought, but it demonstrates just how serious a head injury can be.
We see concussions regularly in contact sports, as well as many professions involving manual labor – construction workers are at particularly high risk of concussion.
A concussion can result in loss of consciousness, headache, dizziness, nausea, vomiting, confusion, ringing in the ears, and general fatigue. It can even result in vomiting, problems speaking, and personality changes. There is extensive research being made into the effects of concussions later in life – the health impact can be both short- and long-term.
Bruised Brain
We’re often taught to tough out a bruise. This isn’t the best advice when it comes to head injuries. The brain can become bruised by an impact on the head. This is often seen in car accidents when someone’s head strikes the steering wheel, window, or dashboard.
Brain bruising can result in difficulty balancing, numbness in the head, problems concentrating, and even problems forming memories. This is a serious and dangerous issue. It’s often hard to spot without medical help because the symptoms are similar to concussions and brain bruising often accompanies a concussion.
Diffuse Axonal Injury
We’ve covered some pretty bad head injuries, and it gets even more serious from here. When the head rotates or shakes back and forth, the brain’s momentum may track a little behind the skull’s momentum. In other words, the brain isn’t moving as fast in a direction as the skull is. This can lead to parts of the brain tearing, which is called a diffuse axonal injury.
Symptoms for this include nausea and vomiting, dizziness and fatigue, headache, and often loss of consciousness.
Coup-Contrecoup
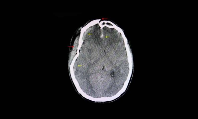
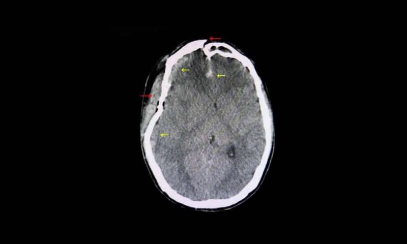
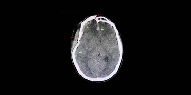
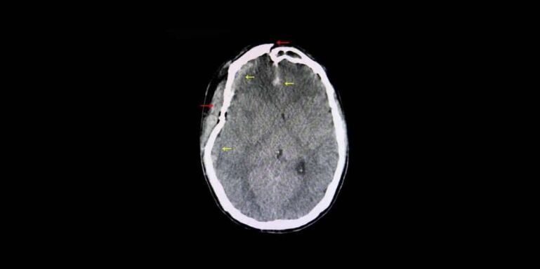
The brain can experience movement inside the skull so suddenly that it hits both inside walls. In other words, both sides of the brain are injured. This is incredibly dangerous. It’s a major cause of brain swelling after a car accident and can even lead to bleeding in the brain itself. There may be skull fractures associated with it. A crash in which the car rolls over is a likely cause of this injury.
In this circumstance, the range of symptoms covers most major symptoms for every other type of TBI: headache, loss of consciousness, seizure, dizziness and confusion, balance and memory issues, problems speaking, problems seeing, ringing in the ears, fatigue, and mood and personality changes.
Penetrating Head Wounds
This is what it sounds like: an object penetrates the skull. This injury is a little different because it’s not just about what’s happening between the brain and the skull. In a car crash, objects can come through the window and even objects inside the car can turn into projectiles.
Remember that many head wounds that bleed will do so profusely. This means that a penetrating head wound from car accident will often result in severe blood loss – not just from the wound but also from the ears.
A seizure may result and the victim may have a great deal of difficulty breathing. They can lose feeling in their limbs, become paralyzed, and lose control of their bladder and bowels. This kind of wound is deadly – even a small object penetrating the skull necessitates immediate medical attention.
Medical and Legal Attention
The most important thing to do after any car accident is to seek medical attention. A traumatic brain injury is not a wait-and-see injury. Permanent disability, chronic pain, and death can occur from any of the injuries listed here. There is no such thing as toughing out a brain injury.
Once medical attention is handled and you and other victims are being treated, consider whether you need legal help as well. Even in a no-fault state, someone can be held responsible for a head injury suffered in a car crash. There may be recovery, physical therapy, mental health therapy, and medication costs resulting from a major injury in a car accident. Beyond this, you can lose the quality of life, ability, peace of mind, endure pain and suffering, and see your job and relationships with loved ones impacted. That deserves compensation, so ensure that you have legal representation after any crash involving a head injury.
If you have been injured in a motor vehicle accident, contact the LaBovick Law Group today.
