When Can a Car Accident Cause Brain Damage?
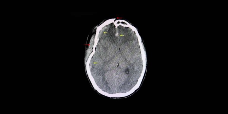
Head injuries are extremely common after motor vehicle accidents. One of the many problems with a head injury is that the person suffering from it

Maximize justice with video proof from our exclusive Warrior Vision™.
View Your Accident Footage Here
Founded in 1991 by skilled attorney and visionary leader, Brian LaBovick, Esq., together with his wife and law partner, Esther Uria LaBovick, Esq., LaBovick Law Group has continuously expanded over the years to now serve clients in both Florida and Massachusetts with dozens of offices and more than 100 employees.
LaBovick Law Group is a consumer litigation law firm, providing legal services on a contingency fee basis, meaning clients pay nothing up front, unless the firm wins your case and recovers money for you. The firm’s major practice areas are Personal Injury, Workers’ Compensation, Social Security Disability (SSD) and Personal Injury Protection (PIP).
Our main office is located in Palm Beach Gardens, Fla., with other offices located throughout Florida and Massachusetts. For more information about LaBovick Law Group, its non-profit organizations, Safety 4 Life and Hispanos Unidos, or to set up an interview with one of our partners, please email marketing@labovick.com or call the Marketing Department today at 561-269-2982.
Check out our latest news releases, TV interviews, podcasts and commercials below:
Head injuries are extremely common after motor vehicle accidents. One of the many problems with a head injury is that the person suffering from it
"*" indicates required fields
James was searching for equipment for painting at Home Depot. In the aisle next to him, there was a worker on a lift stocking the highest shelf. The worker pushed boxes so far across the shelf that they fell off the other edge and hit James in the head. The force almost knocked James unconscious. He sat down and the loud bang got the worker off the ladder to see what fell. When they saw James they offered him a bucket and made a report. James did not recall leaving the store or how he got home. He did not recall much except being at home depot and getting hit in the head. Home Depot told him that it was a small box of dust masks that hurt him. We discovered it was actually a large box of emergency kits that fell off the shelf.
In this case, our client slipped and fell on water that had accumulated near the hot tubs/showers on the Lido deck of a major cruise line ship. The client suffered torn ligaments to her shoulder that required 2 arthroscopic surgeries. The cruise line took the position that the condition on the floor was open and obvious.
Georgia was visiting a friend in the hospital when she walked out of the elevator and into her friend’s room. As soon as she entered the room she slipped on a newly mopped floor without any wet floor sign present. The floor was so wet that Georgia’s entire outfit was soaked. Because of the muted tile floor, the water was invisible. Georgia needed a back operation which was unsuccessful and caused her to slip into a coma. She luckily survived.
AUTOMOBILE REAR END COLLISION
Rodrigo was driving his work truck home when he was rear-ended at a stoplight. Rodrigo needed a fusion of his thoracic spine. A terrible and complex operation. Unfortunately, while Rodrigo was undergoing the spinal operation, one of his children died and he was unable to be with his grieving wife. It was a tragic case that eventually settled.
David was a teacher at a local high school. He rode his bike to school in the morning and after school would ride another 10 miles for exercise. On a sunny afternoon on his way home an older driver turned right into him as he was riding down the street. He hurt his shoulder and neck and needed two operations. Defendant felt his injury was due to playing football 10 years earlier and would not provide him a fair or reasonable offer.
Joe was driving his 18 wheeler on the Florida Turnpike headed south after a long-haul run. He was “bobtailing” which means he did not have a cargo trailer on the back of his truck rig. A drunk driver lost control of his car causing Joe to avoid the accident but drive off the highway and into a canal. He was injured in the accident but also witnessed a child die when he climbed out of the truck and came to the accident site. There the injured child was trapped under the car and he was powerless to save the child before it passed.
Xao, a Vietnamese immigrant was driving home after work at night to see his pregnant wife. He stopped at a 4-way intersection and looked both ways. He did not see anyone in either direction. As Mr. X when through the intersection he was hit on the passenger side door by a mid-sized black SUV driving without their lights on. Mr. X was catastrophically injured.
This was a hard-fought pedestrian accident case, in which our client was struck by an SUV driven by a teen driver, as they attempted to cross North Military Trail in West Palm Beach, FL. As a result of the accident, our client suffered numerous fractures, partial loss of vision and frontal lobe brain injury that affected his speech, and other personal injuries that required him to be hospitalized for 58 days.
At the time of the accident, our client was a cashier at Walmart and has been unable to return to work.
“This case is the epitome of what we consider part of our Core Culture and broad vision – which is to be Warriors for Justice,” stated Brian LaBovick. “Mr. Jacobus has serious permanent injuries and will continue to fight to regain his life into the foreseeable future. This verdict will allow him to get the professional help he needs to safely navigate the rest of his life.”
Brain damages child due to medical negligence. Mother was misdiagnosed upon entry to the hospital while under contractions. The child was born severely disabled.